Gigi merupakan salah satu anggota tubuh yang sangat mempengaruhi penampilan. Oleh sebab itu, Anda harus telaten merawat gigi agar selalu sehat dan membuat Anda percaya diri. Selain masalah karang gigi dan gigi berlubang, masih banyak gangguan kesehatan gigi lainnya yang patut diwaspadai. Salah satunya yaitu abrasi gigi.
Abrasi gigi adalah kondisi gigi terkikis akibat interaksi dengan berbagai instrumen, misalnya gesekan antar gigi atau gesekan dengan benda asing. Masalah abrasi gigi yang dibiarkan begitu saja akan membuat lapisan enamel terkikis hingga ke bagian dentin. Akibatnya, rangsangan luar berupa perubahan suhu maupun kandungan asam lebih mudah mengenai saraf gigi hingga membuat gigi jadi hipersensitif.
Hal-hal yang kerap menjadi penyebab abrasi gigi adalah sebagai berikut:
Tanda-Tanda Abrasi Gigi
Beberapa tanda yang menunjukkan kalau Anda mengalami abrasi gigi, antara lain:
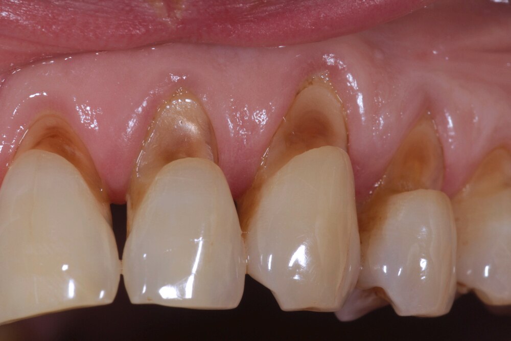
1.Terdapat cekungan tajam berbentuk huruf V pada bagian leher gigi di sekitar gusi.
2. Permukaan gigi mengalami perubahan bentuk dan terlihat seperti patah.
3. Rasa nyeri dan ngilu yang sangat mengganggu karena gigi semakin sensitif. Sensasi tidak nyaman tersebut biasanya disebabkan konsumsi makanan dan minuman yang terlalu asam, panas, atau dingin.
Upaya mengatasi abrasi gigi jadi terasa mudah jika Anda konsisten menjaga kesehatan gigi sekaligus berkomitmen menyudahi kebiasaan buruk penyebab kerusakan gigi.
Kandungan Active Remin ComplexTM dalam pasta gigi Pepsodent ini dapat membantu perbaiki gigi sensitif dengan membentuk lapisan mineral alami gigi untuk meredakan ngilu secara efektif. Itulah sebabnya Pepsodent Sensitive Mineral Expert Sensitivity Treatment mampu memperbaiki 100% area gigi sensitif**.
Jangan panik dulu bila Anda terlanjur mengalami masalah abrasi gigi. Gangguan kesehatan gigi tersebut dapat diatasi oleh dokter gigi dengan beberapa pilihan cara berikut ini:
Jika kerusakan gigi dirasa semakin parah dan Anda belum sempat berkonsultasi dengan dokter gigi secara langsung, Anda dapat memanfaatkan layanan Tanya Dokter Gigi by Pepsodent. Layanan tersebut merupakan program konsultasi masalah gigi gratis via WhatsApp yang dapat membantu Anda menemukan solusi sebelum mengunjungi dokter gigi.
*Dibandingkan sikat gigi bergagang lurus
**Berdasarkan studi in-vitro